
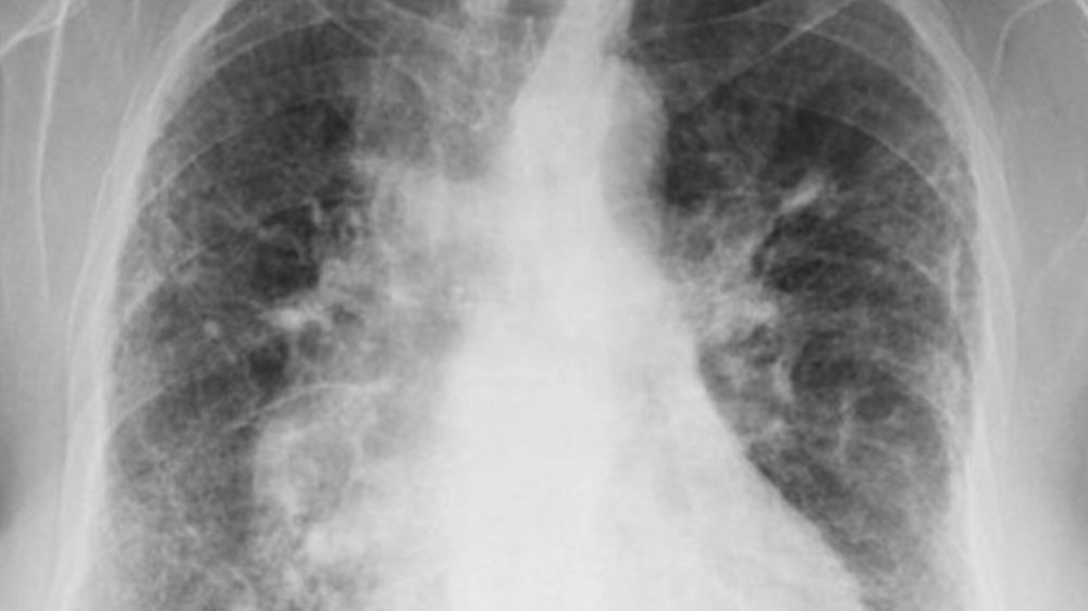
Il silenzio che aveva avvolto l’ambiente è stato spezzato dalla nota ufficiale dell’ospedale che, senza mezze misure, ha chiarito la gravità del momento. Dalla struttura sanitaria, il San Camillo di Roma, è arrivato il verdetto: si trattava di una polmonite interstiziale, e la sua progressione clinica era stata “precipitata molto rapidamente”.
Questa condizione rientra nel vasto gruppo delle malattie polmonari interstiziali, note come ILD, dove il vero problema risiede nell’infiammazione o nel danno all’interstizio polmonare, un tessuto cruciale per la respirazione. Quando questa struttura è compromessa, lo scambio di ossigeno nei polmoni risulta gravemente compromesso.
È proprio la natura insidiosa di questo male che lo ha reso così pericoloso per Peppe Vessicchio, perché i suoi sintomi iniziali sono facilmente scambiati per un comune affaticamento o una semplice influenza.Ma per chiunque, è fondamentale non sottovalutare i campanelli d’allarme, tra cui spicca una tosse persistente, quasi sempre secca. A questo si unisce la dispnea progressiva, ovvero la mancanza di fiato che peggiora nel tempo, e un senso di fatica e malessere generale costante.

Altri segnali da tenere sotto stretta osservazione sono il fiato corto e l’inspiegabile perdita di peso. Per un certo periodo, tutto sembrava potesse rientrare in un generico stato di spossatezza, un malessere comune. Una tosse secca, inizialmente, che si presentava con fastidiosa regolarità, e una fatica generalizzata, sintomi facilmente attribuibili al normale stress della quotidianità. Ma è nel cuore dei polmoni che la realtà si stava riscrivendo in modo drammatico.
Quello che veniva percepito come un semplice affanno si è rivelato un progressivo saccheggio dell’ossigeno vitale. Nel tessuto che circonda gli alveoli, lo spazio polmonare conosciuto come interstizio, qualcosa aveva innescato un danno infiammatorio che interferiva con ogni scambio respiratorio. Di colpo, a rendere il quadro ancora più allarmante è stata la rapidità con cui la situazione è degenerata, portando l’artista a un ricovero urgente. Qual è stato l’esito di questa violenta accelerazione del male?